Комздрав СПб: Из Мариинской больницы выпишут уникального пациента без пульса
Екатерина Щербакова (ночной линейный редактор)
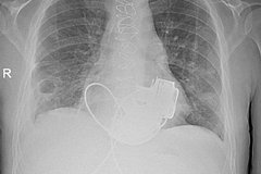
Фото: Комздрав СПб / Telegram
Уникальный пациент без пульса готовится к выписке из петербургской Мариинской больницы. Мужчине впервые в России имплантировали сразу два искусственных желудочка сердца. Об этом рассказали в официальном Telegram-канале городского комитета по здравоохранению.
В медицинское учреждение 36-летний мужчина поступил осенью 2025 года с кардиомиопатией и терминальной сердечной недостаточностью, показатели сердца говорили о том, что человек словно не жив, а уже мертв. Трансплантацию сердца пациенту делать было нельзя из-за некоторых осложнений.
В итоге главный врач больницы Игорь Реутский принял решение об имплантации не одного, а сразу двух искусственных желудочков сердца, потому что одного прибора было бы недостаточно.
«Операция продолжалась около четырех часов. Для наших специалистов самым сложным было синхронизировать работу двух искусственных желудочков сердца, но с этой задачей мы успешно справились. Это доказывает высокий уровень развития кардиохирургии в нашем городе», — рассказал главный внештатный специалист по сердечно-сосудистой хирургии Комитета по здравоохранению Санкт-Петербурга, академик РАН Геннадий Хубулава, по чьим руководством проводилась операция.
Несмотря на то, что послеоперационный период для пациента был непростым, он научился жить с приборами и надеется на скорую операцию трансплантации донорского сердца.